
近日,70岁的宋大爷在解放军总医院神经外科医学部派驻第四医学中心神经外科完成全脑血管检查,造影结果显示其大脑中动脉、前动脉远端分支显影清晰,形态及血流均正常,无任何后遗症残留。而谁能想到,这位老人曾在两年前因急性大脑中动脉主干闭塞命悬一线,是神经外科李首春副主任医师团队以“与时间赛跑”的速度和精湛医术,为他抢回了生命与健康。
时间回溯至两年前的一天,宋大爷在家中拖地时突发意外,突然摔倒在地。家属听到声响后迅速赶到,发现他已无法言语,右侧肢体完全失去活动能力。紧急联系救护车送往第四医学中心途中,宋大爷意识逐渐模糊,抵达医院时已陷入深度昏迷,对外部刺激毫无反应。

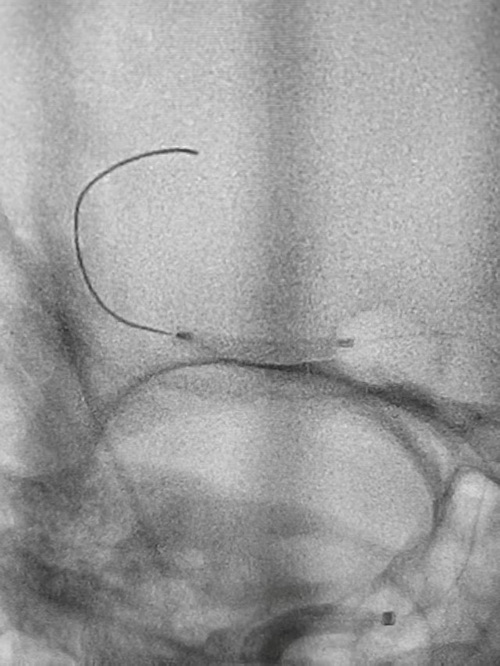
情况危急,神经外科李首春副主任医师接诊后,立即安排患者进行头颅CT,结果显示脑颅内无出血,血管显示左侧大脑中动脉主干闭塞,远端分支不显影。如不及时抢救,病人可能留下严重残疾甚至威胁生命。李首春副主任医师当即诊断为急性大脑中动脉闭塞,紧急准备手术开通治疗。
时间就是生命,提高一秒就多一分胜算。15分钟后,手术团队一切准备就绪,将病人接到手术室,他们立即给予宋大爷全脑血管造影+血管闭塞开通术。经过抽吸和支架辅助取栓,医护团队取出了大约10毫米×1毫米的血性斑块,闭塞血管顺利开通,远端血管恢复显影。术中进一步探查发现,宋大爷大脑中动脉主干存在严重狭窄,李首春副主任医师随即实施球囊扩张+血管内支架植入成形术,彻底改善血管狭窄问题。从术前准备到手术结束,整个过程仅用时1小时。术后3天,宋大爷意识清晰,语言功能恢复流利,右侧手脚活动自如;术后第4天,他已能独立步行,顺利康复出院。


“脑血管病尤其是脑动脉粥样硬化,是威胁中老年人健康的‘头号杀手’,发病急、进展快、危害大,6小时内是取栓治疗的最佳时间窗口。”李首春副主任医师结合案例提醒广大军民,一旦出现肢体无力、言语不清、意识模糊等脑卒中疑似症状,需立即前往具备取栓条件的医院急诊救治,切勿延误。同时,日常防护需做到三点:一是保持规律作息,避免熬夜;二是遵循医嘱健康饮食;三是定期体检,重点完善脑血管相关检查,做到早发现、早干预、早治疗,为脑血管健康筑牢“防护墙”。(赵双林)








